Patient Stories
Read personal health journeys from patients and families. Lessons learned, challenges faced, and the decisions that shaped care.
Articles
Quick informational support on hot topics.
Disease guides
An intuitive map on the most current health issues.
Treatment guides
The latest treatment approaches in one place.

How TPCE in Frankfurt Helped a Spanish Patient Treat Lung Metastases from Parotid Salivary Gland Cancer
Facing a rare and relentless diagnosis, the journey to healing can often feel like a marathon with an ever-shifting finish line. For Mr. Jesus, a deeply resilient patient from Spain, this marathon began with a difficult diagnosis of metastatic paro
American Patient Receiving Robotic Prostate Cancer Surgery at Charité University Hospital
When you live in Miami, life is usually about the heat and the rhythm of the city. But for 67-year-old Mr. Roshan, the rhythm changed in early 2025. A routine check-up turned into a whirlwind of medical terms: a high PSA of 23.58, a biopsy showing
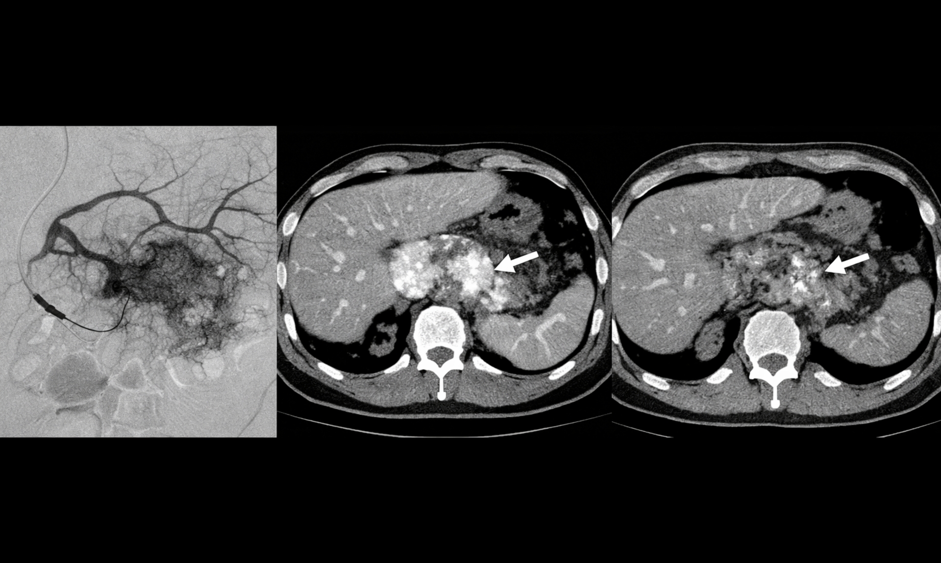
From Canada to the Oncology Center in Germany to Stop Peritoneal Cancer Spread
At Airomedical, we often support patients who have already been through several lines of treatment and need a fresh expert opinion from abroad. One of these cases was K. Yevgenia, a 61-year-old patient from Canada with metastatic ovarian cancer and
Integrated Lung & Heart Evaluation in Germany: A Pulmonary Fibrosis Patient Story from India
When Ms. Poonam from India was told she had lung fibrosis, her world became filled with uncertainty.Breathing, something most people rarely think about, suddenly became deeply connected to questions, worry, and the need for answers. Like many patie
Florida, USA Patient Shares Lu-177 PSMA Experience in Berlin
Daniel P. is 77 and lives in Florida. A few years ago, he heard the words no one wants to hear - prostate cancer. At first, the path looked clear. Treat the prostate. Remove what you can. Control what you can. Then the disease kept moving.Over time
UK to Turkey Hair Transplant: 12-Month Results
When the patient first reached out from the UK, his main concern was easy to understand. Over time, he had developed noticeable hair loss in the central part of the head and at the temples. His hairline was also receding, which made styling difficu





